「ラミネートはやめろ」
少し検索しただけでも、まずこのような言葉が目に飛び込んできます。副作用の事例を見るだけで、到底やってはいけない施術のように感じられるでしょう。皮肉なことに、成功したラミネートはほとんど治療した跡が目立たず、失敗した結果だけがとりわけ目についてしまうのです。
ラミネートを11年間研究してきた歯科医師として申し上げますと、施術自体が問題であるケースは、思っているほど多くありません。 問題は「自分の歯の状態を考慮していない、誤った方法」にあります。 ですから、どのような場所を避けるべきかを知ることが重要です。ラミネートを絶対にしてはいけない理由について、この記事でありのままにお話しします。
「ラミネートはやめろ」と警告する本当の理由5選

実際、このような言葉は根拠なく出てきたものではありません。誤った施術によって被害を受けた方々の経験から生まれた警告です。ラミネートを無計画に受けるとどのような問題が生じ得るのか、5つのポイントに整理してみます。
- 一度削られた歯は、二度と元に戻すことはできません。 削った歯は、決して元に戻すことはできません。問題は、歯科医師によって削除量の基準が異なるという点です。ある歯科医院では0.3mm、また別の場所では1mm以上削ることもあります。削る量が多ければ多いほど、後々生じる問題も大きくなります。
- しみる、炎症、脱落といった副作用が生じます。 歯を多く削ると、冷たいものや熱い食べ物でしみる症状が出ることがあります。それだけではありません。ラミネートの境界が歯茎を刺激すると炎症を引き起こす可能性があり、接着が不完全な場合は脱離することもあります。
- 虫歯の発見が遅れる可能性があります。 接着が不十分だったり、技工物の製作クオリティが低かったりすると、ラミネートの境界に隙間が生じます。この時、隙間に細菌が侵入して虫歯になる確率が高まります。
セラミックが歯を覆っているため、初期段階では気づきにくく、発見が遅れてしまうことが大きな問題です。この場合、治療過程がより複雑で手間のかかるものになってしまう可能性があります。 - 材料の寿命が短いと、結局はさらに高くつきます。 ラミネートは半永久的な施術ですが、材料の品質が低かったり管理が不十分だったりすると、5年も持ちません。再施術を繰り返せば、初回よりも歯の削除量が増えてしまい、費用と時間も倍以上かかることになります。
- ますます不自然になっていきます。 厚さを計算せずに貼り付けると、口元が前に突き出たような違和感が生じることがあります。色が白すぎたり、サイズが合っていなかったりすると、かえって人工的な印象が強まってしまいます。
これだけでは、なかなかピンとこないかもしれませんね。施術を誤るとどのような結果を招くのか、実際の事例を通じてご紹介いたします。
ラミネートの後悔、実際の経験者たちが語る本音
他院での施術後、上下の前歯が噛み合わなくなってしまった女性患者の事例

先日、別の歯科医院でラミネートを受けてから1ヶ月という患者様が来院されました。 前歯がまるで「つぼ」のようにぽっこりと膨らみ、口元が外側へひどく突出した状態でした。 「ざ(Z/J)」行の発音がうまくできず、日常会話にさえ支障をきたしている状況でした。このような場合、ほとんどが最初の設計段階で、歯の角度や顔の比率が適切に考慮されていなかった可能性が高いです。
鼻唇角(びしんかく)を考慮せずにラミネートを行うと、このようにまるで「ロバの歯」のように突き出した仕上がりになってしまうこともあります。

さらに、この患者様の場合、上下の前歯が互いに噛み合わず、ラーメンさえ噛み切れないほど、前歯としての機能を失った状態でした。
残念ながら、ラミネート一つによって、口の中の異物感から外見のストレス、さらには前歯の基本機能にまで悪影響を及ぼしてしまったケースです。こうなると、お金はお金でかかり、ストレスはストレスで溜まるという、最悪の結果を招いてしまいます。
このような事例を見るたびに、私はまず「なぜこれほどまでに突き出した状態で製作してしまったのだろうか?」という疑問が真っ先に浮かびます。
これは、一般の方々が目にすることの多い、非常に残念なラミネートの失敗例の一つです。
美しいデザインのための「最初の設計」がいかに重要であるかをお伝えします。
ラミネート、絶対に「どこでもいい』と安易に決めないでください。」
ラミネートに代わる「歯を削らない・守る」治療の選択肢

もちろん、ラミネート以外にも選択肢はあります。ご希望の結果に合わせて最適な治療を選択することができますが、代表的な治療方法を簡単に見ていきましょう。
- 歯列矯正は歯並びそのものを整える方法で、副作用の心配が最も少ない治療です。期間は短くても1年、長ければ2〜3年ほどかかります。ちなみに、ブランシュにも20年以上のキャリアを持つベテランの矯正専門医が在籍しています。ただし、矯正治療だけでは歯の色や形まで変えることはできません。劇的な変化や見た目の改善を求めるのであれば、やはりラミネートには及びません。
- ホワイトニングは比較的簡単に行うことができ、歯を削る必要もありません。しかし、その効果は一時的です。コーヒー、ワイン、喫煙などによって再び着色してしまいますし、内因性の変色や先天的に色が濃い歯に対しては、期待できる効果に限界があります。
- レジンは費用が安く、当日中に施術が完了します。しかし、セラミックに比べると強度が低く、時間が経つと変色しやすいため、最終的には再製作が必要になるケースが多いです。
即時的な審美改善には、結局のところ、ラミネートに勝るものはありません。
回り回ってやはりラミネートが正解だと思うのであれば、専門の歯科医院で正しく受ける必要があります。では、一体どこで、どのように受けるべきなのでしょうか?
ブランシュのラミネート、副作用に関するお問い合わせ「0件」

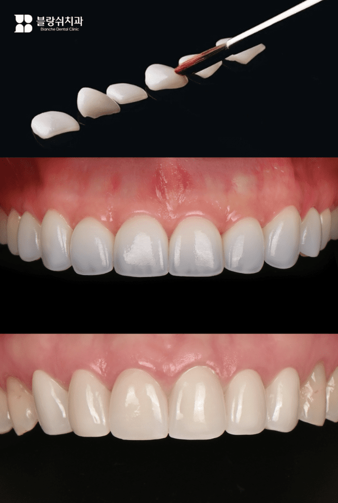
ブランシュは、ソウル大学出身の医療陣とブランシュラボの研究員が、11年にわたる臨床研究を経て開発したプレミアムラミネートです。これまでに1万件を超えるブランシュ・ラミネートを施術してきましたが、副作用に関するお問い合わせはただの一件もありませんでした。 ラミネートの副作用に関するお問い合わせ「0件」。このタイトルは決して偶然ではありません。 最初から天然歯を守ることを最優先に設計したからこそ、可能なことなのです。
- ブランシュのセラミックの厚さは0.1mmです。 成人の爪の厚さの5分の1という驚異的な薄さです。圧倒的な技術力で極限まで薄く仕上げるため、歯をほとんど削る必要がありません。
- 厚みがこれほど薄くても、耐久性は確実です。 ブランシュは、自然歯に最も近い100%スイス産のフェルドスパー(長石)セラミックのみを使用しています。屈曲強度も一般的な材料より3倍高く、10年以上の経歴を持つセラミックスペシャリストが直接担当するため、耐久性まで兼ね備えた超精密加工が可能です。
- ブランシュ歯科の院長が直接施術します。 カウンセリングからマイクロメートル単位の薄い接着まで、全過程を私が直接行います。わずかな誤差も、ミスも許さないためです。
ブランシュ歯科のプレミアムラミネート「ブランシュ」は、当初から副作用の原因を排除するために設計されました。歯のことだけを考え、11年間にわたり研究を重ねてきたからこそ、患者様の満足度という形でその成果が証明されています。
ラミネートはしないでください。「どこででも」というわけにはいかないからです。

もう一度申し上げます。後悔したくないのであれば、ラミネートを「どこででも」受けないでください。一度削ってしまった歯は、二度と元に戻すことはできません。これこそが、最初から信頼できる場所で受けるべき理由です。
ラミネートの第一歩を、ぜひブランシュと共に歩んでいただければ幸いです。