신경치료를 받은 치아가 시간이 지나면서 점점 어두워지는 경험, 한 번쯤 겪어보셨을 거예요. 겉으로는 멀쩡해 보이는데 유독 한 치아만 까맣게 보여 신경 쓰이기도 합니다. 크라운을 씌우면 가려지긴 하지만, 잇몸 경계나 내부 음영이 남아 아쉬운 경우도 많고요. 이 때, 실활치미백으로 까매진 치아를 다시 되돌릴 수 있습니다. 이 글에서는 신경치료 후 변색된 치아를 다시 하얗게 만드는 방법, 즉 실활치미백이 무엇인지, 언제 효과적인지, 주의할 점은 무엇인지를 정리해드립니다. 읽고 나면 이 치료가 나에게 필요한 선택인지 판단하시는 데 도움이 될 거에요.
실활치미백이란 무엇인가요?

실활치미백은 신경치료를 받아 활력을 잃은 치아의 내부에 미백제를 적용해 색을 개선하는 치료입니다. 일반 치아미백이 치아 표면에 작용하는 것과 달리, 실활치미백은 치아 내부에서부터 색을 밝히는 방식입니다.
그렇다면, 왜 신경치료 후 치아가 변색될지도 궁금하실텐데요. 신경치료를 하면 치아 내부의 신경과 혈관이 제거됩니다. 그 결과 치아로 전달되던 수분과 영양 공급이 차단됩니다. 시간이 지나면서 치아 내부에 남아 있던 혈액 성분과 단백질이 산화되고, 치아가 점점 회색이나 갈색으로 어두워집니다. 이 변색은 표면이 아닌 내부에서 시작되기 때문에 일반 미백으로는 개선되지 않습니다.
(실활치미백술(nonvital bleaching) 사진 출처: https://blogs.dentalkart.com/teeth-whitening/)
실활치미백 진행 방법, 1주일간의 정밀 치료

실활치미백은 단순한 미백 시술이 아니라, 정확한 위치와 깊이를 고려한 정밀 치료가 필요합니다. 일반적인 과정은 다음과 같습니다.
- 신경치료 시 만들어진 통로를 다시 확인합니다.
- 치아 내부의 적절한 위치까지 접근해 미백제를 삽입합니다.
- 미백제를 약 5~7일간 유지하며 내부 변색을 서서히 제거합니다.
- 충분한 색 변화가 확인되면 미백제를 제거하고 내부를 다시 밀봉합니다.
보통 1주일 내외면 눈에 띄는 색 개선을 확인할 수 있습니다. 다만 변색 정도가 심하거나 오래된 경우에는 1~2회 추가 시행이 필요할 수 있습니다.
여기서 꼭 알아두셔야 할 점이 있습니다. 실활치미백은 결코 쉬운 시술이 아닙니다. 미백제를 정확한 위치에 넣어야만 부작용을 최소화할 수 있기 때문입니다. 특히 치아의 잇몸 경계 부위에 미백제를 삽입하는 과정은 고도의 세심함을 요구합니다. 따라서 경험이 풍부한 전문의에게 시술받는 것이 중요합니다.
크라운을 씌우는데도 실활치미백이 필요한 이유
“크라운으로 덮으면 가려지지 않나요?”
실제로 이 질문을 정말 많이 받습니다. 하지만 치아 색이 너무 어두운 경우, 크라운을 씌워도 두 가지 문제가 남을 수 있습니다.
| 문제 | 원인 |
|---|---|
| 잇몸 경계가 회색·검게 비침 | 크라운 하방으로 어두운 치아 색이 투과됨 |
| 크라운 내부에 어두운 음영 | 치아 자체의 색이 크라운 색 표현을 방해함 |
그래서 실활치미백을 먼저 시행하면 잇몸 경계의 그림자가 줄어들고, 크라운 색 표현이 훨씬 자연스러워집니다. 결국 심미적 완성도를 높이기 위한 사전 정리 단계라고 이해하시면 됩니다.
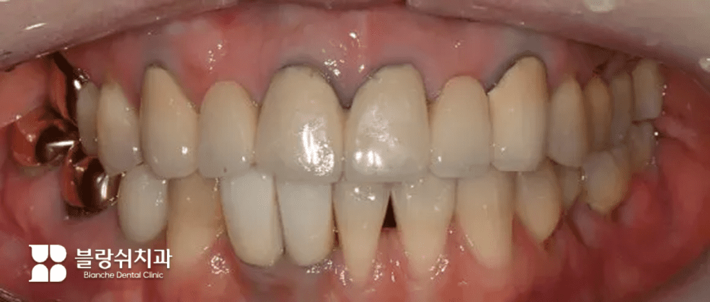
실제 시술 사례로 보는 실활치미백 전후 비교

신경치료 후 오래된 크라운을 사용 중이던 환자분의 사례입니다. 잇몸 경계와 치아 내부가 어둡게 보이는 문제가 확인되었습니다. 이 환자분이 사용 중이던 크라운은 PFM 크라운이었습니다. PFM 크라운은 겉은 도자기, 내부는 금속 구조를 가진 재료입니다. PFM 크라운은 시간이 지나면서 아래와 같은 두 가지 변화가 생깁니다.
- 도자기 표면이 마모되면서 내부 금속이 비쳐 보이는 현상
- 잇몸 라인이 검게 보이는 현상
대부분의 경우 이런 문제는 크라운 교체만으로도 일정 부분 개선이 가능합니다. 하지만 이 환자분은 치아 자체의 색이 어두워진 상태였기 때문에, 단순 크라운 교체만으로는 한계가 있는 상황이었습니다.

- 실활치미백 전 상태(왼쪽) 신경치료를 받은 치아는 신경과 혈관이 제거되면서 수분과 영양 공급이 차단됩니다. 그 결과 시간이 지날수록 치아 내부에 남아 있던 성분이 산화되며 검은 톤으로 변색되는데요. 이 상태에서 바로 크라운을 씌우면 겉은 가려질 수 있지만, 잇몸 경계가 어둡게 보이거나 크라운 내부로 치아 색이 비치는 문제가 남을 수 있습니다.
- 실활치미백 후 상태(오른쪽) 실활치미백 진행 후 약 10일 뒤, 치아 내부 색이 눈에 띄게 밝아진 것을 확인할 수 있었습니다. 실활치미백은 치아 표면이 아닌 치아 내부에서부터 색을 개선하는 치료이기 때문에, 변색의 원인 자체를 해결하는 데 목적이 있습니다.

크라운으로 치아의 검은 부분을 가릴 수 있는데 굳이 이 시술을 해야 하나 생각하실 수 있는데요. 실활치미백 전후로 크라운을 씌웠을 때의 변화를 보여드리겠습니다. 왼쪽 사진을 보면 크라운 안쪽으로 치아의 어두운 색상이 비쳐 보입니다. 한눈에 봐도 검은 부위가 보이죠. 반면 오른쪽 사진을 보면 검은 잇몸 부위가 사라지고 크라운 안쪽의 어두운 음영도 보이지 않습니다.
이렇게 실활치미백과 크라운 치료를 통해 치아 색이 균일해지고 전체적인 심미 완성도를 개선하는 결과를 만들 수 있습니다.
실활치미백, 어떤 효과가 있고 한계는 무엇일까?
실활치미백은 모든 변색된 치아를 똑같이 하얗게 만들어주지는 않습니다. 치료를 받기 전에 어떤 효과를 기대할 수 있고, 어떤 한계가 있는지 미리 알아두시는 게 좋습니다.
기대할 수 있는 효과
- 치아 안쪽에서 생긴 회색이나 갈색 변색을 밝게 만들 수 있습니다
- 크라운이나 라미네이트를 하기 전에 치아 색을 미리 개선할 수 있습니다
- 치료 기간이 비교적 짧습니다 (보통 1~2주)
한계점과 주의사항
- 변색이 생긴 이유나 얼마나 오래됐는지에 따라 효과가 다를 수 있습니다
- 시술을 잘못하면 치아 뿌리가 손상될 수 있습니다
- 의사의 경험과 실력에 따라 결과가 많이 달라집니다
실활치미백에 쓰는 미백제는 일반 미백제보다 훨씬 강합니다. 그래서 치아 구조를 잘 모르는 상태에서 시술하면 문제가 생길 수 있습니다.
블랑쉬치과 상담 안내

신경치료 후 까맣게 변한 치아 때문에 미백 치약을 쓰거나 일반 치아미백을 받아본 분들이 계실 겁니다. 하지만 효과가 없었을 거예요. 내부에서 시작된 변색은 표면 미백으로 해결되지 않기 때문입니다.
실활치미백은 치아 내부에 직접 미백제를 적용하는 치료입니다. 변색의 원인 자체에 접근할 수 있어 효과가 확실합니다. 다만 실활치미백에 사용되는 미백제는 일반 미백제보다 훨씬 강한 약제입니다. 적절한 농도, 정확한 위치, 안전한 깊이를 판단하려면 경험이 필요합니다.
저는 치아 미백으로 서울대에서 석사 학위를 받았습니다. 그만큼 미백에 진심입니다. 하지만 무조건 미백을 권하지는 않습니다. 상담에서는 현재 치아 상태를 확인하고, 실활치미백이 적합한지를 먼저 판단해드립니다. 내 치아 상태를 정확히 파악하고 실활치미백 가능 여부에 대한 상담이 필요하시면 언제든 블랑쉬치과를 찾아주세요.